Can I get dental implants with bone loss? Yes, it is possible to receive dental implants even if you have bone loss, but additional procedures may be necessary. This is important because many people with missing teeth worry they aren’t candidates for implants.
For instance, if you’ve experienced significant bone loss due to periodontal disease or an injury, your dentist might recommend a bone graft before placing the implants. This ensures a stable foundation for the implants and improves your overall oral health.
Bone loss can be a significant hurdle when considering dental implants. If you’re wondering, “Can I get dental implants with bone loss?” the answer often depends on the extent of that bone loss and your specific situation.

Understanding Bone Loss and Its Impact on Dental Implants
Bone loss refers to the deterioration of the jawbone structure, primarily due to tooth loss, gum disease, or other dental health issues. This loss can severely impact the stability of dental implants, which rely on a healthy bone foundation for proper placement and support.
When there isn’t enough bone density, the consequences can be significant. Insufficient bone may lead to the failure of the implant, causing it to loosen or even fall out. Imagine getting excited about your new smile, only to face complications due to inadequate bone support. That’s why assessing bone health is crucial before moving forward with implants.
The success of dental implants hinges on sufficient bone density. A strong jawbone not only supports the implant but also integrates with it over time, creating a solid foundation. If your bone density is low, your dentist may suggest options like bone grafting to enhance your jawbone’s strength before implant placement.
Bone grafting involves taking bone from another area of your body or using synthetic materials to build up the jawbone. This procedure can help ensure that there’s enough bone for the implant to fuse properly, significantly improving the chances of a successful outcome.
Ultimately, understanding your bone health is essential when considering dental implants. Regular dental check-ups can help monitor your bone density and catch any issues early on. If you’ve been wondering about your options, don’t hesitate to discuss them with your dentist—they can guide you toward the best path for a successful implant.
If you’re wondering, “Can I Get Dental Implants With Bone Loss?” you’re not alone. Many people face this concern, but there’s hope! Understanding your medical history, undergoing evaluations, and consulting with dental professionals are key steps in determining your candidacy for implants.

Evaluating Your Candidacy for Dental Implants
When considering dental implants, several factors come into play, especially if you have bone loss. Your overall health and specific oral conditions are critical in assessing whether you can successfully receive implants.
The first step is a thorough medical history and oral health assessment. Your dentist will review any existing health conditions, medications you’re taking, and your oral hygiene habits. These factors can significantly impact healing and the success of implants. For example, if you have chronic conditions like diabetes, your dentist will need to take extra precautions.
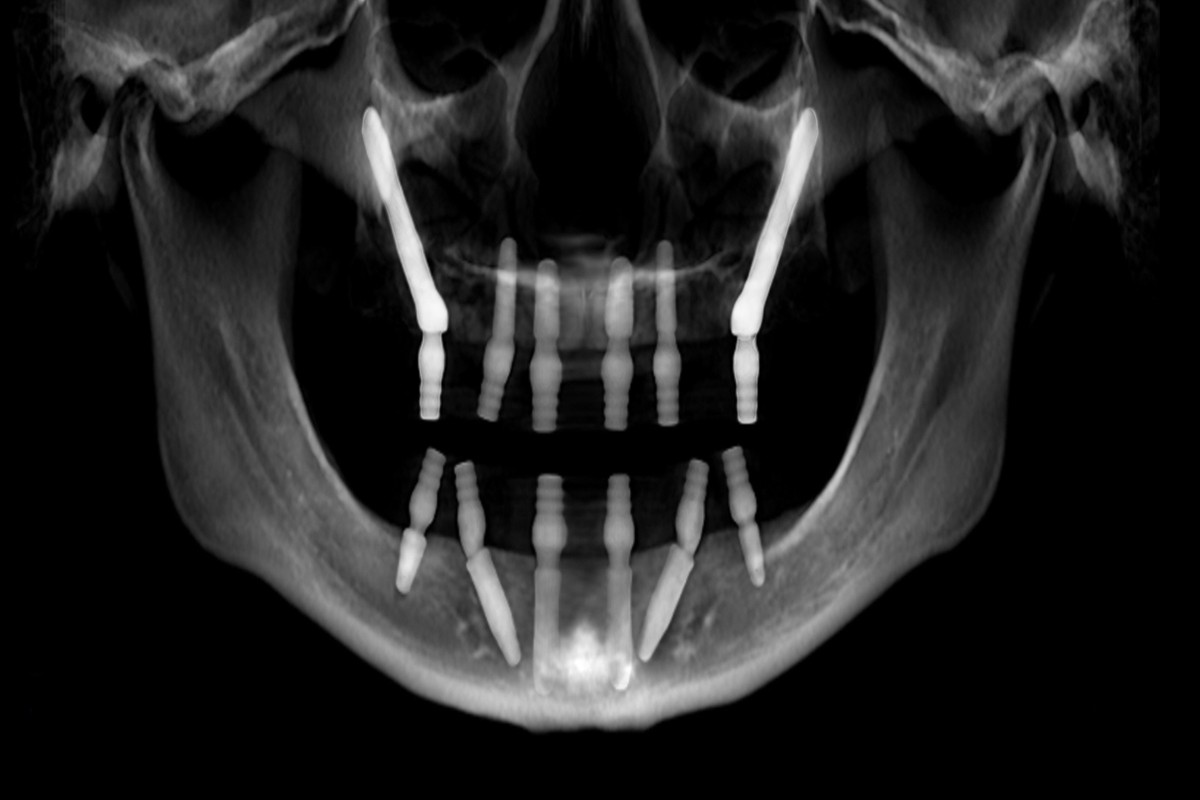
Next, a bone density evaluation will help determine the health of your jawbone. This usually involves imaging techniques like X-rays or a CT scan. These images provide a detailed view of the bone structure, helping your dentist gauge if there’s enough bone to support an implant. If bone loss is detected, don’t worry; there are ways to enhance bone density before proceeding.
Consultation with Dental Professionals
A consultation with your dental professional is essential. They’ll discuss your imaging results and explain your options. If you’re found not to have adequate bone density, they may recommend procedures like bone grafting or sinus lifts to build up the bone. Trust me, these options can make a big difference in your eligibility for implants.
If you’ve been wondering, “Can I Get Dental Implants With Bone Loss?” bone grafting could be the answer you need. This procedure helps restore the bone in your jaw, making it possible to support dental implants effectively.

Bone Grafting: A Solution for Bone Loss
Bone grafting is a surgical procedure aimed at augmenting bone mass in areas where it’s insufficient. This is particularly essential for those considering dental implants but facing challenges due to bone loss.
So, what exactly is bone grafting? Essentially, it involves taking bone tissue from another part of your body, a donor, or using synthetic materials to fill in the gaps in your jawbone. This helps create a solid foundation for the implants.
Types of Bone Grafting Procedures
There are several types of bone grafting procedures, each suited to different situations:
- Autograft: This involves taking bone from your own body, usually from the hip or chin.
- Allograft: Here, bone is sourced from a donor, often processed and sterilized for safety.
- Xenograft: This uses bone from another species, typically bovine, to promote bone growth.
- Synthetic grafts: Made from biocompatible materials, these grafts stimulate your body’s own bone growth.
The choice of graft depends on your specific needs and the extent of bone loss. For example, if you need a small area filled, a synthetic graft might be the best option. If there’s significant loss, an autograft could provide the most reliable results.
Recovery Process and Timeline
After a bone graft, you’ll need some time to heal before getting implants. The recovery process typically takes a few months, as your body needs to integrate the graft material with your existing bone. During this time, you may experience some swelling and discomfort, but this is usually manageable with medication.
Most people can return to normal activities within a week or two, but full healing can take anywhere from three to six months. Your dentist will monitor your progress and determine when you’re ready for the next step—getting those dental implants.
Before diving into a bone graft, it’s a good idea to discuss all your options with your dentist. They can help you understand the process and what’s best for your unique situation. Taking this step can pave the way for a brighter, healthier smile.
If you’ve been told you have bone loss, you might be wondering, “Can I get dental implants with bone loss?” Fortunately, there are alternative options that can help you regain your smile and function without the need for extensive bone grafting.

Alternative Options for Patients with Severe Bone Loss
When traditional methods like bone grafting aren’t suitable for you, there are several innovative solutions available. These options can give you a chance to enjoy a full set of teeth without compromising your health or comfort.
One popular alternative is mini dental implants. They’re smaller than traditional implants, making them less invasive and ideal for those with limited bone density. With mini implants, you can often skip the bone grafting process entirely, leading to a quicker recovery and less discomfort.
For more extreme cases of bone loss, zygomatic implants might be the solution. These implants anchor into the cheekbone rather than the jawbone. This can be a game-changer for patients who have lost significant jawbone since they provide a stable foundation for dentures or crowns, even when traditional options aren’t viable.
If you need a temporary solution while exploring your options, removable dentures can fit the bill. They can be placed quickly and easily, giving you a functional smile without the need for surgery. While they might not be as secure as implants, they’re an excellent way to maintain your confidence and quality of life in the meantime.
Imagine you’re at a family gathering. You want to enjoy a meal but feel self-conscious about your missing teeth. With removable dentures, you can join in on the fun without worrying about how you’ll look or eat. Plus, it gives you time to consider more permanent options like mini or zygomatic implants.
When exploring these alternatives, consult with your dentist to find the best fit for your specific situation. They can guide you through the process and help you make an informed decision that suits your needs and lifestyle.
If you’re considering dental implants but have bone loss, it’s essential to understand the risks involved. Many factors can affect your eligibility and the success of the procedure, so let’s dive into what you should know before moving forward.

Risks and Considerations for Dental Implants with Bone Loss
Dental implants can be a fantastic solution for missing teeth, but bone loss complicates things. Before committing to surgery, you need to weigh the potential complications and long-term outcomes.
One major risk during surgery is the potential for complications related to insufficient bone density. If your jawbone doesn’t have enough strength or volume, the implant might not secure properly, leading to failure. In some cases, additional procedures like bone grafting may be necessary, which can add time and complexity to your treatment.
Long-term success rates of implants can vary, especially when you have bone loss. Generally, implants have a high success rate, but factors like bone health, oral hygiene, and lifestyle choices can influence how well they last. It’s crucial to have a conversation with your dentist about your specific situation and what you can expect.
Aftercare and Maintenance Tips
Once you’ve had the surgery, aftercare is vital for ensuring the longevity of your implants. You’ll need to maintain excellent oral hygiene, including regular brushing and flossing, to prevent infection. Regular dental check-ups will also help keep an eye on your implant’s health.
For example, imagine you’ve just received dental implants but notice some discomfort a few weeks later. This could be a sign of infection or improper healing, which is why follow-up appointments are essential. Your dentist can identify any issues early and help you address them before they become significant problems.
Ultimately, if you’re wondering, “Can I Get Dental Implants With Bone Loss,” the answer isn’t straightforward. While implants can be successful even with some bone loss, understanding the risks and committing to diligent aftercare is vital for your long-term success.
Many patients with bone loss may wonder if dental implants are a viable option for them. Fortunately, there are numerous success stories that demonstrate just how effective these implants can be, even in challenging situations.

Success Stories: Real-Life Experiences with Bone Loss
Hearing from real patients who faced similar concerns can provide hope and insight into the dental implant journey. Let’s explore some inspiring testimonials and experiences that shed light on the possibilities after dealing with bone loss.
Take Sarah, for instance. After losing several teeth due to gum disease, she experienced significant bone loss in her jaw. Initially, she was hesitant about getting dental implants. “I kept asking myself, ‘Can I get dental implants with bone loss?’” she recalled. But after consulting with her dentist, she learned about bone grafting—a procedure that helped her regain enough bone density for implants.
Sarah’s before-and-after photos tell a transformative story. Before the procedure, she struggled with confidence and avoided social gatherings. After receiving her implants, she not only regained her smile but also her self-esteem. “I can finally eat and laugh without worrying,” she shared, beaming with joy.
Then there’s John, who faced a similar dilemma. After suffering an accident, he had severe bone loss and thought dental implants were out of reach. “I felt hopeless,” he admitted. But after a thorough evaluation, his dental provider suggested a combination of bone grafting and dental implants. The process took time, but John was amazed at how quickly he healed.
His testimonial highlights a vital lesson: “It’s not just about the implants; it’s about the whole process and the care you receive.” John emphasized the importance of choosing an experienced dental professional who understands the complexities of bone loss. His results? A fully restored smile and the ability to enjoy his favorite foods again.
These stories show that success is possible, even when facing bone loss. Many patients find that with the right approach and expert guidance, they can achieve their desired results. A supportive dental team can make a significant difference in your journey.
As you consider your options, remember that every situation is unique. Don’t hesitate to ask questions and discuss your concerns with your dentist. They can guide you through the steps to determine if dental implants are right for you, even if you’ve experienced bone loss.
